dentistry_arts
Nov 10
45
0.03%
#Repost @dr.pilov
・・・
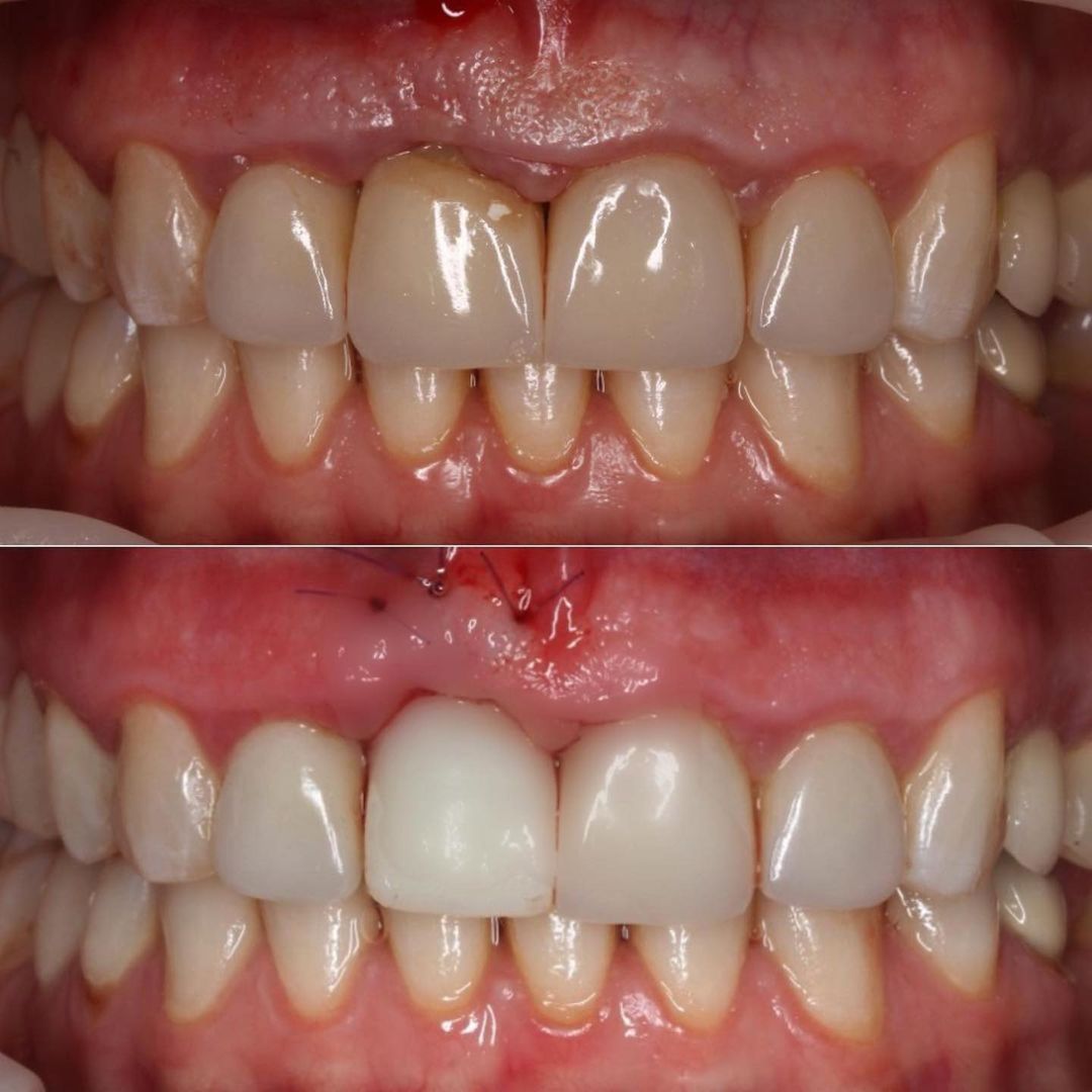
Одномоментная имплантация центрального резца с изготовлением временной коронки.
Листайте карусель ➡️
Пациентка обратилась в клинику «Центр эстетической стоматологии» г.Назрань с жалобами на подвижность переднего зуба на верхней челюсти .
Мы провели диагностику , сделали снимки и увидели трещину корня зуба с воспалением на верхушке .
Было предложено удалить и поставить сразу имплантат и изготовить временную коронку.
- в лаборатории и @estet.lab07 нам изготовили шаблон
- удалили зуб
- поставили имплантат
- добавили костную ткань и десну
- доктор @zalik707 изготовил временную коронку и зафиксировал
Пациентка была счастлива , что мы ее не оставили без зуба и все было сделано за один приём .
Через 4 мес установим постоянную коронку на имплантат.
dentistry_arts
Nov 10
45
0.03%
Cost:
Manual Stats:
Include in groups:
Products:
