dentistry_arts
Nov 10
157
0.12%
#Repost @dr.rosseelanthony
・・・
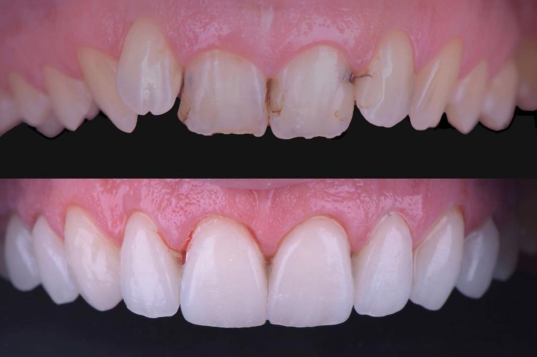
Cas multidisciplinaire 💥
Gestion numérique avec @modjawlive et @smilecloud_biometrics 💻
Orthodontie avec @aligneurs_francais 🥇
Chirurgie parodontale avec bistouri électrique et CVDentus avec insert de @paulo.kano 🇧🇷
Un de mes cas les plus abouti, qui n’aurait pas été possible sans l’aide de @dr.pierrelayan et @dr_boschateljd et leur formation esthétique 2.0 🫱🏻🫲🏼
👨🏼🎨 lab @mika_prothesia
🏥 CDV @dr.declercq @doc_derisq
dentistry_arts
Nov 10
157
0.12%
Cost:
Manual Stats:
Include in groups:
Products:
