vicentedental
Aug 24
84
1.01%
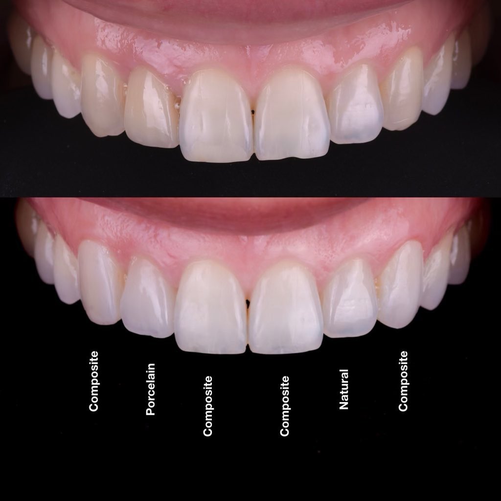
This patient was referred to me for my expertise in both composite and porcelain veneers. She was looking for an upgrade on her somewhat aging smile and needed somebody to treat it utilizing both techniques cohesively. The makeover was a subtle refresh of her 20 year old veneers. We began with whitening, replaced the veneers with a new and improved one, courtesy of @michelmagneofficial , used great isolation technique via rubber dam, and did no prep composite on her adjacent teeth that needed a little love. Swipe for process pics.
i️ For more information please contact our office at:
📞 310.207.2060
📧 [email protected]
💻 www.vicentedental.com
📍Brentwood, Los Angeles
📱Available for FaceTime Virtual Consults, contact office for more info.
💳 Financing options & payment plans available.
We look forward to seeing you soon!
#dentist #losangelesdentist #ladentist #dentistla #compositebonding #smilemakeover #veneers #cavity
vicentedental
Aug 24
84
1.01%
Cost:
Manual Stats:
Include in groups:
Products:
