drtylerhales
Jul 14
3K
7.62%
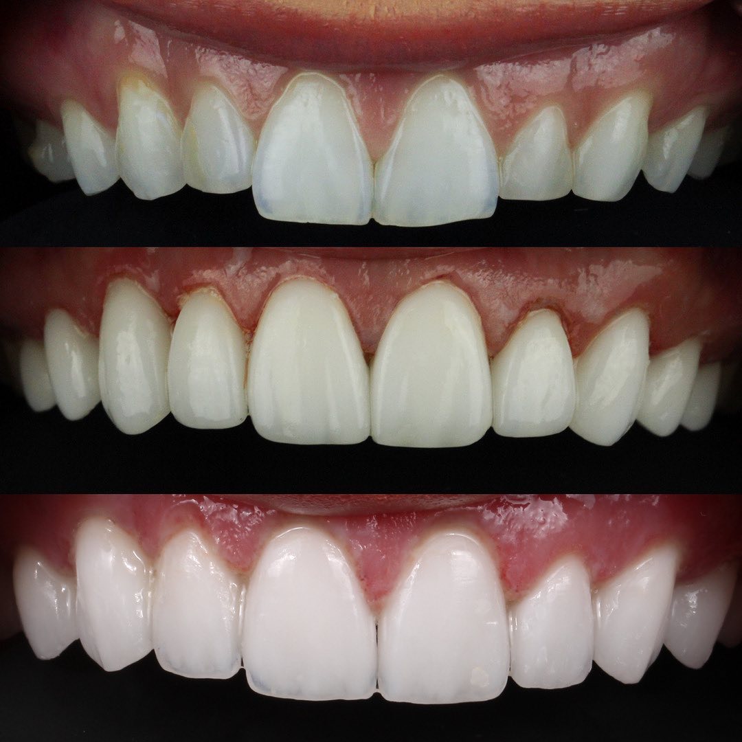
Good...Better...Best! Can you spot the differences? This veneer transformation for @madison.lecroy emphasized the importance of communication and using a skilled ceramist. In the veneer process in a stage with “ temporary veneers” which offers an opportunity for the patient to make changes to the teeth before the final veneers are made. The temps (middle picture) were too bulky, round, and didn’t have natural features she was looking for. After several conversations with Madison and my ceramist, we were able to make changes to the teeth and give Madison her dream smile with her final veneers 🔥🔥
.
.
.
Self-conscious about your smile? Get all your questions answered in 3 Easy Steps:
.
1️⃣ Click the link in my bio now and upload some selfies of your smile.🤳🏻
2️⃣ Tell me what you want to change about your smile. 🤔
3️⃣ Receive a customized video of what your smile could look like within 24 hours from @drtylerhales. 🎥
.
Contact me:
.
📱 DM me @drtylerhales.
.
📞 Call me at (949) 429-0049.
.
📧 Email is at [email protected]
drtylerhales
Jul 14
3K
7.62%
Cost:
Manual Stats:
Include in groups:
Products:
