drderekgatta
Jun 15
25
2.08%
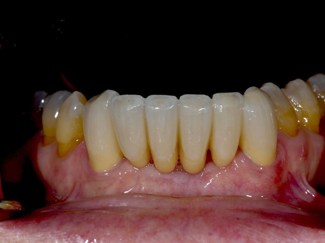
Patient lost her four lower incisors #23-26. My team at Venetian dental lab made her a 6-unit bridge! Realistic looking teeth are not a “white picket fence”. They have slights craze lines, rotations and wear. Capturing all these details makes a lifelike affect for patients! #smile #teeth #dentistry #prosthodontics #florida #bocaraton
drderekgatta
Jun 15
25
2.08%
Cost:
Manual Stats:
Include in groups:
Products:
